Răng lệch nhân trung là vấn đề răng miệng thường gặp. Mặc dù không gây ra nguy hiểm nhưng lại ảnh hưởng đến thẩm mỹ và khả năng ăn nhai. Vậy Răng lệch nhân trung là gì? Phương pháp khắc phục hiệu quả. Tất cả sẽ được Nha Khoa Quốc Tế KAIYEN giải đáp chi tiết thông qua bài viết dưới đây.
Răng lệch nhân trung là gì?
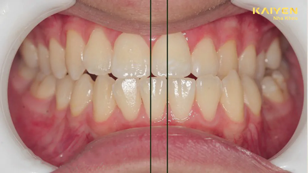
Đường nhân trung là một rãnh nhỏ nằm trên vành môi và ngay dưới đầu mũi. Thông thường, khi cười, bạn thấy hai răng cửa đối xứng nhau và đường kẽ giữa hai răng cửa song song với qua đường rãnh này.
Tuy nhiên, một số người lại gặp phải tình trạng răng lệch nhân trung. Đây là tình trạng kẽ hở giữa hai răng cửa không nằm thẳng với rãnh nhân trung, mà nghiêng sang trái hoặc sang phải.

Nguyên nhân khiến răng lệch nhân trung
Các lý do thường gặp khiến cho răng bị lệch so với rãnh nhân trung là:
Do di truyền
Nếu gia đình bạn có thành viên đã và đang bị răng lệch đường giữa thì bạn có khả năng gặp phải tình trạng tương tự. Vấn đề này hoàn toàn có thể ảnh hưởng đến sức khỏe răng miệng của con cái sau này.
Khớp cắn chéo
Khớp cắn chéo là hiện tượng các răng mọc thò ra hoặc thụt vào bất thường khiến cho hai hàm răng mất sự đối xứng. Trong đó, răng bị lệch khỏi vị trí cân xứng so với nhân trung là một dấu hiệu nhận biết rõ ràng của tình trạng ấy.
Mất răng
Hầu hết các trường hợp mất răng (như mất răng do chấn thương, mất răng vì bệnh lý…) nếu không kịp thời khắc phục thì đều gây ra lệch lạc các răng hiện có trên cung hàm, bao gồm răng cửa bị lệch nhân trung. Nghiêm trọng hơn, mất răng còn khiến cho bạn đối mặt với tình trạng tiêu xương, tụt nướu, viêm nha chu,…

Do thói quen xấu
Một vài thói quen tưởng như vô hại, nhưng lại khiến cho răng mọc lệch như mút tay, cắn móng tay, nghiến răng,… Ngoài ra, chúng còn khiến cho răng dễ gãy, nứt, vỡ,…
Niềng răng thất bại
Niềng răng là thủ thuật thẩm mỹ hiện đại có thể giúp đưa răng, khớp cắn sai lệch về vị trí đúng như mong muốn. Tuy nhiên, nếu bác sĩ có tay nghề kém nên siết răng thiếu lực, chỉnh nha sai kỹ thuật,… thì răng và khớp cắn sẽ tiếp tục lệch ra khỏi cung hàm.
Răng lệch nhân trung có ảnh hưởng gì không?
Người mắc phải tình trạng răng lệch nhân trung thường phải gặp nhiều bất tiện trong cuộc sống:
Ảnh hưởng đến thẩm mỹ:
Sự lệch lạc của răng không chỉ làm ảnh hưởng đến khuôn mặt mà còn làm mất đi sự cân đối tự nhiên. Điều này gây ra tự ti trong giao tiếp, khiến cho việc tương tác xã hội trở nên khó khăn, tạo ra trở ngại trong cuộc sống cá nhân và nghề nghiệp.

Gây khó khăn trong việc ăn uống và vệ sinh răng miệng:
Răng lệch ảnh hưởng đến khả năng ăn nhai, làm cho quá trình ăn uống và vệ sinh răng miệng trở nên khó khăn. Điều này tăng nguy cơ mắc các vấn đề về sức khỏe răng miệng như sâu răng, viêm nướu,…
Tình trạng kéo dài gây ra biến dạng khuôn mặt và khớp hàm:
Răng lệch khiến cho cấu trúc khuôn mặt bị thay đổi, gây ra mệt mỏi và yếu hàm. Nó có thể làm thay đổi vị trí và hình dạng của khớp thái dương hàm, dẫn đến các vấn đề về sức khỏe và làm ảnh hưởng đến khả năng mở và đóng miệng.
Cách nhận biết răng lệch nhân trung
Có 2 cách nhận biết được tình trạng răng bị lệch đường giữa là:
Quan sát trực tiếp
Khi bạn cười thật tươi và nhìn vào toàn bộ hàm răng của mình trong gương. Nếu đường kẽ giữa hai răng cửa lệch về hướng nào đó so với đường thẳng từ nhân trung xuống dưới cằm thì có khả năng bạn bị vấn đề về răng lệch nhân trung.
Sử dụng thước đo
Để thêm phần chính xác, bạn dùng một cây thước đặt ở vị trí nhân trung và hướng xuống cằm. Nếu hai răng cửa đối xứng với nhau thì răng mọc đúng vị trí. Ngược lại, trường hợp một trong hai răng bị nghiêng sang vị trí của răng còn lại hoặc khoảng cách từ rìa ngoài răng cửa bên trái đến nhân trung và từ rìa ngoài răng cửa bên phải đến nhân trung không bằng nhau thì chắc chắn là răng mọc lệch.

Cách điều trị răng lệch nhân trung hiệu quả
Hầu hết các trường hợp răng lệch nhân trung đều có thể can thiệp bằng phương pháp niềng răng. Bởi vì, phương pháp này tác động trực tiếp đến khớp cắn và răng để điều chỉnh lại cho đúng vị trí chuẩn nhất. Nhờ đó, bạn có thể ăn nhai, phát âm một cách dễ dàng và sở hữu nụ cười đẹp, hài hòa với tổng thể khi hoàn thiện lộ trình thực hiện chỉnh nha.
Hiện nay, có nhiều phương pháp niềng răng như niềng răng mắc cài, niềng răng trong suốt,… Dựa vào tình trạng răng miệng của mỗi người mà bác sĩ sẽ tư vấn, chỉ định giải pháp tối ưu.
Niềng răng mắc cài kim loại
Niềng răng mắc cài kim loại là kỹ thuật chỉnh nha truyền thống, được nhiều khách hàng lựa chọn và đạt thành công mỹ mãn. Phương pháp này tận dụng lực kéo mạnh từ mắc cài, dây cung để đưa răng, khớp cắn về vị trí cần thiết. Không chỉ khắc phục được khuyết điểm răng lệch nhân trung hiệu quả, niềng răng mắc cài kim loại còn mang đến hàm răng đều, đẹp và đảm bảo chức năng ăn nhai bền vững.

Niềng răng mắc cài sứ
Chỉnh nha bằng mắc cài sứ có cách thực hiện và hiệu quả mang lại tương tự như phương pháp mắc cài kim loại, nhưng ưu điểm nổi bật hơn là cải thiện tính thẩm mỹ và độ an toàn cao hơn. Mắc cài bằng sứ sẽ có màu tương tự như với men răng thật nên người khác khó có thể nhận biết bạn đang niềng răng. Những ai có tiền sử dị ứng với kim loại thì mắc cài chế tác từ sứ cũng là giải pháp thay thế lý tưởng vì tính tương thích sinh học tốt.
Niềng răng trong suốt
Niềng răng trong suốt là cách điều chỉnh răng, khớp cắn bằng một chuỗi khay niềng (chế tác từ chất liệu nhựa sinh học an toàn) được thiết kế riêng cho mỗi khách hàng. Điểm nổi bật của phương pháp niềng răng trong suốt là dễ dàng tháo lắp, vệ sinh khi cần thiết; người đeo máng niềng ăn uống thoải mái, không bị vướng víu; mang lại tính thẩm mỹ cao; tạo cảm giác “niềng răng như không niềng”,…

Để đảm bảo kết quả chỉnh nha được như ý từ lần đầu tiên, bạn nên ưu tiên thực hiện ở các nha khoa uy tín, có bác sĩ chuyên môn cao và thâm niên điều trị nhiều năm. Nhờ đó, khách hàng được chỉ định phương pháp, lộ trình tối ưu, phù hợp với tình trạng răng hiện tại và sau cùng là đạt được kết quả chỉnh nha mỹ mãn, lấy lại nụ cười tự tin, trẻ đẹp.
Tóm lại, răng lệch nhân trung tuy có thể không gây ra nguy hiểm, nhưng về lâu dài có thể để lại nhiều biến chứng nghiêm trọng. Vì vậy, ngay khi phát hiện bản thân gặp vấn đề này, bạn nên đến Nha Khoa Quốc Tế KAIYEN để bác sĩ thăm khám, đưa ra lộ trình điều trị phù hợp.
THÔNG TIN NHA KHOA QUỐC TẾ KAIYEN
- Facebook: https://www.facebook.com/nhakhoakaiyenclinic
- Website: https://kaiyennhakhoa.com/
- Hotline: 0818163366
- Địa chỉ: 99 Trần Não, phường An Khánh, Thành phố Thủ Đức, TP. Hồ Chí Minh

